便潜血検査とは
便潜血検査は、「便の中に潜んでいる血をみつける」検査です。便が真っ赤(血便)であればすぐに気が付くことができますが、肉眼では見えない、ごくごくわずかな出血でも見つけてくれるのがこの検査になります。
「便潜血陽性と判定された」=「大腸のどこかに出血の原因がある」
ことを意味します。
ではどのような病気があると、大腸から出血するのでしょうか。

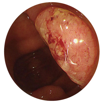
がん

大腸ポリープ
(がんの芽のようなもの)

炎症性疾患
(潰瘍性大腸炎・クローン病
など)

憩室
これらの病気を判別するのに必要な検査が、大腸内視鏡検査(大腸カメラ)になります。
大腸がんのでき始めは、一般的にはポリープ(おでき、いぼのようなもの)の形をしており、当院では、大腸カメラを行ったその場で検査と同時に切除することができます。
内視鏡でポリープを切除する目的は、先々大腸がんに育つ前に「がんの芽を摘む」ことです。
(もし大腸がんになっていたとしても、早期であればその場で切除することが可能なものもあります)
内視鏡的大腸ポリープ切除は「手術」になります。当院は「短期滞在手術基本料1」の施設基準(厚労省)を取得しており、安心・安全に治療を受けていただくことができます。
もちろん、痔からの出血や月経出血などでも便潜血検査にひっかかることはありますが、大腸の奥からの出血を否定するためには大腸カメラが必要になってきますので、必ず検査を受けるようにしましょう。
便潜血検査 ※自費診療
当院ではお手軽に検査を受けていただけるように500円(自費診療)で便潜血検査を行っております。
検査の流れ
- ① 診療時間内に来院していただきます。初めてご来院の方は、ご本人確認のため保険証をご持参ください。 あらかじめお電話を頂けましたら、待ち時間の短縮になります。
- ② 問診票のご記入をお願いします。
- ③ 検査キットと返送用封筒、検査説明用紙をお渡しします。
- ④ ご自宅で便を採取していただき、当院まで郵送してください。
- ⑤ 2週間で検査結果がわかります。
お会計時に、結果を聞きに来られる日をご予約ください。
ご予約日より1週間前には、便の返送をお願いします。 - ⑥ 予約日に来院していただき、医師より結果説明をします。
※検査対象外の方
- ・月経中の方
血液が判定に影響を及ぼす可能性があります。終了から1週間ほど空けてください。