『苦痛は最小限、安心感は最大限』
をモットーにしています!
確かな技術
専門医・認定技師が常在
日本消化器内視鏡学会専門医の資格を持つ院長と、日本消化器内視鏡学会認定消化器内視鏡技師の資格を持つ看護師で、常に検査を実施します。
「無理をしない」ことをモットーに、安全な検査・処置を提供します。
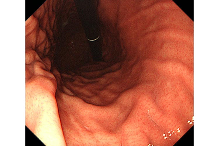
内視鏡システム
内視鏡システムは、オリンパス社の機器「EVIS X1」を導入しています。
これまでのものより画質が鮮明で、より高繊細な観察ができます。
-
以前の内視鏡システムで撮影した画像
( 奥が暗くてよく見えない) -
現在当院で使用している
内視鏡システムで撮影した画像
NBI(狭帯域光観察)の使用
がんやポリープの増殖には血管からの栄養補給を必要とするため、病変の近くの粘膜には小さな血管が集まりやすくなります。この小さな血管の集まりをいち早く発見することが、がんなどの病変の早期発見には重要です。
当院では、NBI(狭帯域光観察)という特殊な光を照らす観察技術を用いることで血管の集まりを見やすくし、通常光では見えづらいがんなどの病変を早期発見することができます。
苦痛を最小限に、いつでも受けやすい検査体制
ニーズに添った検査
胃カメラは、経鼻内視鏡か経口内視鏡かを選択することができます。
また、胃カメラ・大腸カメラともに、鎮静剤を使用して眠っている間に検査を受けることも選択可能です。
検査日
- 胃カメラ
-
診療時間 月 火 水 木 金 土 AM PM ─ ─ - 大腸カメラ
-
★:鎮静剤は使用できません。
- 胃カメラと大腸カメラを同日に受けることもできます。
- 大腸ポリープの切除も日帰りで行うことができます。
診療時間 月 火 水 木 金 土 AM
(11:00~) PM ─ ─
苦痛の少ない検査
- 《炭酸ガスの使用》
- 大腸カメラでは、観察をする際に空気を使用し大腸のひだを伸ばして隅々まで観察します。
従来の空気送気は、検査後もなかなか大腸内の空気が抜けきれず、お腹が張った感じが残り不快に感じる方が多くおられました。
当院では、空気の代わりに炭酸ガスを使用しています。
炭酸ガスは腸管からの吸収が空気の200倍近く早く、検査後のお腹の張りはほとんどありません。 - 《無送気軸保持短縮法》
- 大腸カメラ時、無理にスコープを押し込んで挿入すると腸が伸ばされ、痛みが生じます。
当院ではスコープを無理に押さずに、また空気をほとんど入れずに、ストローの袋をくしゅくしゅっと縮めていくようなイメージで、腸を縮めてスコープを挿入していきます。
この操作により、腸が伸ばされることがなくなり、腸が伸びることで起こる痛みを軽減できます。
安心な検査環境
クリニックでの下剤内服
大腸カメラの検査前には、下剤を飲んで大腸をできるだけ空っぽにする必要があります。
ご高齢の方は、ご自宅で下剤を飲むことに不安を感じられる方が多いと思います。
また遠方からお越しの方は、来院途中の排便に不安を感じられると思います。
当院では、そのような方には大腸検査日の朝からクリニック内で下剤を飲むことをご提案しています。
一般の患者さんの待合室とは壁で隔てた待合室で、ゆっくりと安心して下剤を飲んでいただけます。
トイレは院内に3か所あり、いざという時にも安心です。
モニタリング
検査中は、マシモ社製のパルスオキシメーターを指先に装着し、酸素飽和度や脈拍を常にモニタリングします。
そのため検査中の患者さんのちょっとした体の変化にもすぐに気付くことができるため、安心です。
検査終了後もしっかりと目が覚めるまで、モニタリングを継続します。
回復室は個室
鎮静剤を使用して検査を受けられた方は、検査を受けたベッドのまま起き上がることなく回復室へ移動して休んでいただきます。
回復室は個室で、ゆっくりと目が覚めるまで休んでいただくことができます。
調光式の室内灯なので、明るさで目を覚ますことはありません。
スコープ洗浄機・ディスポーザブル製品の使用
内視鏡検査で近年問題になっているのが、内視鏡を介した細菌・ウイルス感染です。
当院では、検査直後に内視鏡を手洗いしたあと、カイゲン社製の内視鏡自動洗浄機で洗浄します。
この洗浄機は、強酸性電解水による消毒・滅菌を行っているので、MRSA・大腸菌・抗酸菌・真菌・ウイルスなど広範囲な微生物に対して有効です。
また、処置具はディスポーザブル製品が主で、お一人お一人新しいものを使用し、使用後は廃棄しています。
リユース製品は、超音波洗浄機でムラなく洗浄後、高圧蒸気で滅菌消毒しています。

わかりやすい説明と検査後のサポート
検査結果レポート
内視鏡検査を受けられた方には、検査結果レポートをお渡ししています。
内視鏡画像をカラーで印刷し、お一人お一人結果をわかりやすく記載してご説明します。
医療連携
検査後に必要があれば、速やかに信頼できる病院へ紹介いたします。
検査画像をすべてCD-Rに保存し、紹介先の病院へお持ちいただきます。
当院では、JCHO神戸中央病院・神鋼記念病院・真星病院などと医療連携を結んでおりますが、神戸市立医療センター中央市民病院・西市民病院や神戸大学医学部附属病院など、ほかの病院でも患者さんの希望に合わせてご紹介いたします。
患者さんからの疑問&不安
- Q1.ピロリ菌は調べてもらえる?
-
胃カメラで、胃炎や胃潰瘍・十二指腸潰瘍がある場合は保険適応としてピロリ菌感染を調べることができます。胃カメラを受けずに、ピロリ菌検査のみをご希望の場合は、自費になります。
(¥5,000)当院では、内視鏡によって組織を一部採って調べる迅速ウレアーゼ検査や鏡検検査、採血による血清ピロリ菌抗体検査、吐いた息で調べる尿素呼気試験を用いて調べることができます。
迅速ウレアーゼ検査以外は、外部の検査機関に依頼するため結果説明は後日になります。 - Q2.ピロリ菌の除菌薬を飲みました。除菌できたかどうかは、また胃カメラをしないとダメですか?
-
胃カメラ検査は不要です。
ピロリ菌の除菌薬を飲み終わって、2か月以上経過してから尿素呼気試験で判定をおこないます。
尿素呼気試験は、絶食で来院していただき除菌判定薬(ユービット錠)を飲む前後の呼気を検査袋にいれて炭素元素濃度を測る検査です。検査時間は30分ほどかかりますが、息を吐くだけなので全く苦痛はありません。
外部の検査機関に依頼するため結果説明は後日になります。 - Q3.胃カメラの時、いつも「オエッ」となって辛いです。楽に検査できますか?
-
経鼻内視鏡の方が咽頭反射は起こりづらいので、「オエッ」となりやすい方はこちらをおすすめします。
また、鎮静剤を使用した胃カメラもおすすめです。
鎮静剤を使用した場合、当日の自動車・バイク等の運転ができません。
楽に検査を受けるコツは…- 検査のベッドに乗ったら、リラックスして特に肩の力を抜きましょう!
- 息は鼻からゆっくり吸って、口から「ハー」と吐きましょう。
- 検査中、唾液は飲み込まないでダラダラと口の外に出しましょう。
- 検査中は目を閉じないで、遠くをぼーっと見る感じでいましょう。
目を閉じると意識がどうしても咽頭に集中してしまい、オエッとなりやすくなります。
すべてできなくても大丈夫ですので、できることだけやってみましょう!
- Q4.大腸カメラでお尻を出すのが恥ずかしいです。お尻は出さないとダメですか?
-
大腸カメラの時には、お尻の所だけ穴が開いた検査用パンツと検査着を着ていただきます。
検査の開始時だけ、お尻をみて潤滑剤のゼリーを塗りスコープを挿入します。
検査が始まってしまうと、お尻の穴をみることはありません。
検査の最初だけ、我慢してください。 - Q5.大腸のポリープをとったら、何か日常生活の制限はありますか?
-
ポリープ切除部からの出血を防ぐために守っていただきたいことがいくつかあります。
- 切除後2日間は入浴は湯船につからず、シャワーにしてください。
- 1週間は、お腹に力の入ることや運動は行わないようにしてください。
- 10日間は刺激物を食べたり、アルコールの摂取は避けてください。
- 飛行機に乗ることも、気圧の低下による影響で腸管内圧が上がります。1週間くらいは避けてください。
大腸カメラの検査後すぐに、旅行や宴会等が予定されている場合はポリープ切除はお勧めできません。
事前にお知らせいただければ、検査日を調整したり、ポリープ切除をせずに観察のみ行うようにします。 - Q6.大腸カメラは痛そうに思います。鎮静剤を使ったら本当に苦しくないですか?
-
痛みの感じ方には、個人差があります。
また、お腹の手術歴のある方や腸の炎症を過去に経験されている方は、腸が癒着している可能性が高く、痛みを感じることが多くなりがちです。お酒が強い方は、鎮静剤が効きにくいこともあります。
鎮静剤の使用量は、基本的に体重で投与量を決めますが、検査中痛みがひどい方は適宜鎮静剤を追加していきます。
できるかぎり苦痛が少ないように配慮していきます。 - Q7.病院じゃなくてクリニックでのポリープ切除って、ちょっと不安なような…。
-
院長は日本消化器内視鏡学会専門医の資格を有しています。
また、消化器内視鏡技師の資格を持つ看護師が在籍しており、安心・安全に検査を受けていただけるよう日々研鑽しております。
とはいえ、当院では切除困難な深さのあるポリープや大きなポリープは、安全に切除する必要があるため、大きな病院へご紹介させていただきます。 - Q8.普段便秘がちです。検査当日の下剤だけできれいになるか不安です。
-
便秘がちな方は、検査の数日前から毎日排便があるように、検査当日の下剤以外にも下剤を処方します。あらかじめ医師にご相談ください。
特に冬の寒い時期は水分摂取が少なくなり、便秘になりがちです。
ご自身でも意識して水分をとり、体を動かすなどして排便コントロールを心がけましょう。大腸カメラ当日の排便量が少ない場合は、追加の下剤を内服したり浣腸をしていただくことがあります。 それでも思うように便が出ない場合は、その日の検査は中止して、後日にあらためて下剤内服からやり直すことがあります。
- Q9.鎮静剤を使用した検査を受けましたが、しっかりと休んで目を覚ましました。車の運転してもいいですか?
-
鎮静剤を使用した方には、検査当日の車・バイク・自転車の運転を禁止しています。
ご自身ではしっかりと目が覚めたつもりでも、注意力の低下や再度眠気が出現することがあります。
過去には神戸市でも鎮静剤使用後に車を運転し、電柱に衝突し多発骨折の重傷を負ったケースがあります。
大きな事故につながりかねませんので、検査当日の車・バイク・自転車の運転は絶対にやめてください。 - Q10.神戸市胃がん検診を受けることができる?
-
申し訳ございません。当院では神戸市胃がん検診は行っておりません。
- Q11.便潜血陽性の結果が来たんだけど…
-
便潜血陽性だった場合、大腸にポリープなどができている可能性がありますので、大腸カメラを行う必要があります。当院で行うことができますので、受診してください。